Orthodontie adolescent

L’orthodontie adolescent à Rungis permet de corriger durablement l’alignement des dents et les décalages des mâchoires à une période clé de la croissance. Le Dr Kévin MAHOUN, orthodontiste proche d’Orly, Vitry-sur-Seine et Antony, accompagne les adolescents avec des traitements adaptés, efficaces et esthétiques.

orthodontie adolescent appareils multi attaches Orthodontie adolescent Dr Kévin MAHOUN - Orthodontiste à Rungis

L’adolescence est souvent le moment idéal pour débuter un traitement orthodontique, car la majorité des dents définitives sont en place et la croissance n’est pas totalement terminée.

Soins orthodontiques à Rungis

Pourquoi débuter un traitement orthodontique à l’adolescence ?

Entre 11 et 16 ans, la croissance osseuse permet encore d’agir sur certains décalages des mâchoires tout en corrigeant l’alignement dentaire.

Un traitement en orthodontie adolescent peut permettre de :

  • Corriger les dents chevauchées ou espacées
  • Améliorer l’occlusion (mauvais emboîtement des dents)
  • Traiter un décalage entre la mâchoire du haut et du bas
  • Faciliter l’hygiène bucco-dentaire
  • Améliorer l’esthétique du sourire et la confiance en soi

Un bilan orthodontique permet d’établir un plan de traitement personnalisé.

Orthodontie à Rungis, proche d’Orly, Vitry-sur-Seine et Antony

Votre orthodontiste spécialiste, le Dr Mahoun, et son équipe vous accueillent au :
10 bis rue du Séminaire, 94550 Chevilly-Larue

Traitements orthodontiques aux adolescents à Rungis

Chaque adolescent a un profil orthodontique unique. Le praticien analyse la position des dents, la croissance des mâchoires et les habitudes fonctionnelles avant de proposer un plan de traitement individualisé. Certains traitements nécessitent des appareils fixes, d’autres des systèmes amovibles. L’implication du patient reste essentielle : un suivi régulier et une bonne hygiène garantissent le succès du traitement. L’orthodontie moderne privilégie des solutions esthétiques et confortables, afin d’aider les adolescents à vivre cette étape en toute confiance.


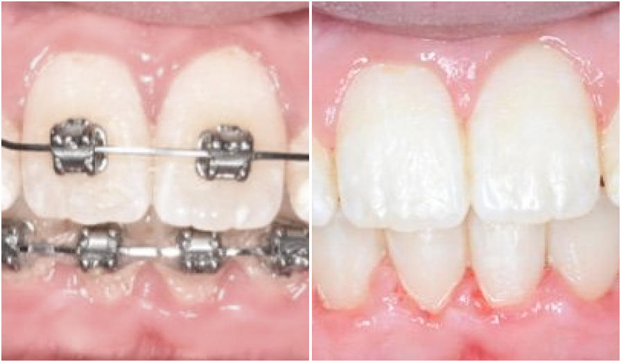
L’orthodontie et les appareils multi-attaches

appareils multi attaches Orthodontie adolescent Dr Kévin MAHOUN - Orthodontiste à Rungis

Les appareils multi-attaches sont les plus répandus à l’adolescence. Ils se composent de petites attaches collées sur les dents et reliées entre elles par un fil fin. Ce fil exerce une tension douce pour repositionner les dents progressivement. Les attaches peuvent être métalliques ou en céramique, plus discrètes. Ce traitement, ajusté régulièrement, offre un contrôle précis du mouvement dentaire.

  • Sa durée moyenne varie de 18 à 24 mois, selon la complexité du cas.

Une hygiène méticuleuse est essentielle pour éviter la plaque et les irritations. Ce dispositif reste une solution fiable pour obtenir un alignement harmonieux et durable.


L’orthodontie invisible : les aligneurs transparents

Les aligneurs transparents représentent une alternative moderne aux appareils classiques. Il s’agit de gouttières amovibles, conçues sur mesure grâce à des empreintes numériques précises. Elles exercent une pression légère et constante pour déplacer les dents progressivement.

orthodontie invisible aligneurs transparents Orthodontie adolescent Dr Kévin MAHOUN - Orthodontiste à Rungis

Ces aligneurs se retirent pour les repas et le brossage, facilitant l’hygiène quotidienne.

Le traitement est efficace à condition que le port soit régulier, environ vingt heures par jour. Il convient particulièrement aux adolescents motivés et responsables, à la recherche d’une solution discrète et confortable. Ce dispositif permet d’obtenir un sourire aligné sans fil ni attache visible.

  • La durée moyenne d’un traitement par aligneurs transparents se situe entre 12 et 20 mois, selon la complexité du cas et la rigueur du port quotidien.

La contention : stabiliser les résultats dans le temps

La phase de contention suit la période active du traitement. Elle empêche les dents de bouger à nouveau et maintient la position obtenue. Deux types de contentions existent :

  • La contention fixe, avec un fil discret collé derrière les dents
  • La contention amovible, portée surtout la nuit.

Cette étape garantit la stabilité du résultat et la durabilité du sourire. Elle fait partie intégrante du traitement orthodontique et demande un suivi régulier.

  • La contention dure en moyenne entre 12 mois et plusieurs années, selon la croissance et la stabilité du résultat.

Comment se déroule un traitement au sein du cabinet ?

Au cabinet du Dr Kévin MAHOUN à Rungis, le traitement d’orthodontie pour adolescent se déroule en plusieurs étapes, avec une approche progressive, claire et rassurante.

1) Consultation initiale
Lors du premier rendez-vous, le praticien observe la dentition, échange avec l’adolescent et les parents, et prend en compte les attentes, les habitudes (respiration buccale, posture de la langue, succion résiduelle) ainsi que les éventuelles gênes au quotidien.

2) Bilan orthodontique complet
Un bilan permet d’établir un diagnostic précis : radiographies, empreintes numériques si nécessaire, et analyse de l’alignement dentaire, de l’occlusion et des mâchoires. Cette étape sert à construire un plan de traitement personnalisé, en fonction de la croissance et des objectifs du patient.

3) Mise en place du traitement
Selon l’indication, le traitement peut inclure des appareils multi-attaches, des aligneurs transparents, des élastiques ou d’autres dispositifs complémentaires. La pose s’accompagne d’explications détaillées : hygiène, alimentation, gestes à adopter et durée estimée du traitement.

4) Suivi régulier et ajustements
Des rendez-vous de contrôle sont programmés en général toutes les 6 à 8 semaines afin d’ajuster l’appareil, de vérifier la progression et de garantir un traitement efficace, dans les meilleures conditions.

5) Phase de contention
À la fin du traitement actif, une contention (fil discret et/ou gouttière de maintien) est mise en place pour stabiliser les résultats. Des contrôles permettent de vérifier la tenue du résultat sur plusieurs mois.

Chaque étape se déroule dans un cadre calme et bienveillant. Le Dr Kévin MAHOUN prend le temps de rassurer l’adolescent et d’expliquer chaque procédure avec clarté, y compris pour les familles venant de Rungis et des communes voisinesarté.

Conseils pratiques pour adolescents

Nos astuces pour aider les adolescents lors de leurs soins

Pour que le traitement se passe dans les meilleures conditions, certaines habitudes sont essentielles :

  • Maintenir une hygiène parfaite : brossage après chaque repas et utilisation de brossettes interdentaires.
  • Respecter les consignes du praticien : port régulier des appareils et présence aux rendez-vous de contrôle.
  • Adopter une alimentation adaptée : éviter les aliments durs, collants ou sucrés.
  • Communiquer avec le praticien : signaler toute gêne ou casse d’appareil.
  • Rester motivé : suivre l’évolution et noter les progrès pour renforcer l’engagement.
  • Protéger son appareil lors du sport : porter un protège-dents si nécessaire.

Ces gestes simples garantissent un traitement plus confortable et des résultats optimaux.

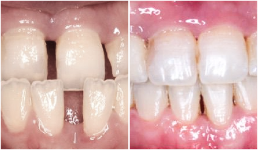
Cas orthodontiques adolescents

Avant / Après en photos et en vidéos – Dr Kévin MAHOUN


Découvrez nos cas cliniques avant/après en photos et en vidéos, réalisés par le Dr Mahoun. Ces exemples illustrent les résultats obtenus chez nos patients enfants, adolescents et adultes, grâce à des traitements personnalisés (multi-attaches, gouttières invisibles, orthodontie interceptive…).

Chaque sourire est unique : ces cas cliniques vous permettent de visualiser concrètement l’évolution et la transformation après traitement orthodontique :

Orthodontiste à Rungis

Dr Kévin MAHOUN – proche d’Orly, Vitry-sur-Seine et Antony

Vous pouvez prendre rendez-vous par téléphone ou via Doctolib :


FAQ – Orthodontie adolescent à Rungis

À quel âge commencer un traitement orthodontique chez l’adolescent ?

Un traitement débute généralement entre 11 et 14 ans, lorsque la majorité des dents définitives sont en place. À cet âge, la croissance permet encore d’agir efficacement sur l’alignement des dents et certains décalages des mâchoires.


Quelle est la différence entre appareils multi-attaches et aligneurs transparents ?

  • Les appareils multi-attaches permettent des corrections précises, notamment pour les malpositions complexes.
  • Les aligneurs transparents, plus discrets et amovibles, conviennent aux cas légers à modérés et nécessitent une bonne coopération (port quotidien régulier).

Le choix dépend du diagnostic et du plan de traitement personnalisé.


Combien de temps dure un traitement orthodontique adolescent ?

La durée moyenne varie entre 12 et 24 mois, selon la complexité du cas et la régularité du suivi. Des rendez-vous sont généralement programmés toutes les 6 à 8 semaines.


Le traitement orthodontique est-il douloureux ?

Une légère sensibilité peut apparaître après la pose ou les ajustements, mais elle reste temporaire. Les techniques actuelles sont conçues pour être progressives et confortables.


L’orthodontie adolescent est-elle remboursée ?

Les traitements débutés avant 16 ans peuvent faire l’objet d’une prise en charge par l’Assurance Maladie, sous conditions et après accord préalable. Une mutuelle peut compléter le remboursement.


Le cabinet est-il proche de Rungis ?

Oui, le cabinet du Dr Kévin MAHOUN accueille les adolescents venant de Rungis, Orly, Vitry-sur-Seine et Antony.

📍 Adresse :
10 bis rue du Séminaire, 94550 Chevilly-Larue
Dans le bâtiment du Centre Médical et Dentaire des Halles

📞 01 46 87 36 18
📝 Prise de rendez-vous via Doctolib